- Biologie
- Physik
- 3B-Scientific Physik
- Grundlagen der Physik
- Mechanik
- Aerodynamik
- Akustik
- Dynamik
- Mechanik der festen Körper
- Mechanik der Flüssigkeiten
- Mechanik der Gase
- Schwingungen und Wellen
- Optik
- Kalorik
- Magnetismus
- Elektrik / Elektronik
- Energieumwandlung
- Atomphysik
- Messen
- DVD / Video
- Software
- Stative / Aufbewahrung
- Verbrauchsmaterial
- Sicherheit / Unfallschutz
- Brandschutz
- Bildungsstandards
- Chemie
- Mathematik
- Mikroskopie
- Astronomie
- Ökologie/Umweltschutz
- Technikunterricht
- Software
- Fachübergreifend
- Mensch Natur Umwelt
Zuletzt angesehen Zuletzt angesehen
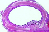
Mikropräparat - Luftröhre (Trachea) der Katze, quer. Ringknorpel, Drüsenzellen, Flimmerepithel
(1)
10,59 €
inkl. 19 % USt zzgl. Versandkosten




